网站首页 医院概况 新闻动态 设备环境 就医指南 荣誉资质 特色专科 互动咨询 联系我们
  分类导航
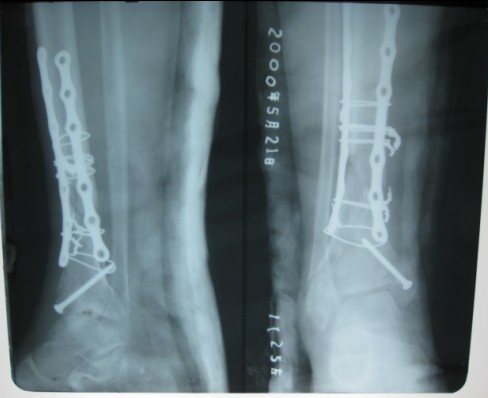
- 胫骨骨不连骨瓣游离移植修复术


术后七年 骨不连

骨瓣移植术后

骨瓣移植术后一年半

术后康复中

痊愈

最新评论
发表评论
评论标题
评论内容
图片上传
表情图标
 
全站搜索 出入院须知 诚聘精英 医院位置 就诊流程

 张家口市顺康医院 手足外科  医务咨询及急救电话:13784544821

地址:河北省张家口市经开区朝阳西大街世纪路交叉口顺康医院

张家口手外科医院 张家口手指再造断指再植 张家口皮肤缺损治疗 张家口手足畸形矫正 张家口创伤显微手足外科 张家口手足外科